

导读:
近期,伊朗德黑兰大学工程学院研究人员开发了一种新型海藻酸盐微颗粒,用于美沙拉嗪的靶向递送,以治疗炎症性肠病。该研究通过微流控技术结合柠檬酸交联和壳聚糖包覆,成功制备出粒径均一、载药量高且具有pH敏感释放特性的微颗粒;动物实验证实其能有效减轻结肠炎症。相关研究以“Enhanced Alginate Microparticles Fabricated by a Microfluidic System for Local Mesalamine Delivery to Inflammatory Bowel Disease”为题目,发表于期刊《Biomacromolecules》。
本文要点:
1、本研究开发了一种用于局部递送美沙拉嗪(Mes)治疗炎症性肠病(IBD)的增强型海藻酸(Alg)微颗粒。
2、通过柠檬酸(CA)生物相容性方法合成了Alg-κ-卡拉胶(κCar)嵌段共聚物,并利用微流控芯片制备微颗粒,进一步采用壳聚糖(CS)包覆以提高Mes包封率。
3、FE-SEM图像显示微球形态规则、尺寸分布窄;TGA分析表明Alg-CA-κCar/CS微颗粒具有更佳的热稳定性。
4、该微颗粒实现了73.8%的药物包封率,并表现出pH敏感性释放特性:在pH 2环境下保护药物,在pH 7.4条件下释放增加。
5、体内实验表明,经微颗粒治疗的大鼠其促炎因子(TNF-α、MPO和IL-6)水平显著降低。综上,Alg-CA-κCar/CS微颗粒为Mes提供了更可控的递送载体,在IBD的有效治疗与管理中展现出良好潜力。



图1.(A)3D打印模具的SOLIDWORKS设计图;(B)芯片微通道尺寸图;(C)完全制备好的聚二甲基硅氧烷(PDMS)微流控芯片;(D)通道内液滴生成的显微图像;(E)单分散性海藻酸盐-柠檬酸-κ-卡拉胶/壳聚糖@美沙拉嗪(Alg-CA-κCar/CS@Mes)液滴。

图2. 用于生成油包水乳液液滴及制备微球的微流控系统示意图。(A)海藻酸盐-柠檬酸-κ-卡拉胶(Alg-CA-κCar)共聚物的合成过程;(B)微流控系统中的液滴生成:(a)Alg-CA-κCar共聚物的化学结构;(b)该过程的光学显微镜图像;(c)离子交联并包覆壳聚糖(CS)后的Alg-CA-κCar化学结构;(d)在离子与CS溶液中,Alg-CA-κCar/CS@Mes微球的包覆及离子交联过程;(C)Alg-CA-κCar/CS@Mes微球对炎症性肠病(IBD)模型大鼠的体内抗炎效果评估。

图3.(A)纯材料的傅里叶变换红外光谱(FTIR);(B)不同微球复合物的傅里叶变换红外光谱(FTIR);(C)纯材料与微球的热重分析(TGA)曲线;(D)海藻酸盐/κ-卡拉胶(Alg/κCar)混合物与Alg-CA-κCar共聚物的氢核磁共振(¹H NMR)光谱。

图4.(A)海藻酸盐微球(Alg MPs)、(B)Alg-CA-κCar微球、(C)Alg-CA-κCar/CS微球的光学显微镜图像及粒径分布图;(D)Alg MPs、(E)Alg-CA-κCar微球、(F)Alg-CA-κCar/CS微球的场发射扫描电子显微镜(FE-SEM)图像。

图5. 微球在(A)酸性条件、(B)生理条件下的溶胀率;美沙拉嗪在(C)酸性条件、(D)生理条件下从微球中的释放曲线。

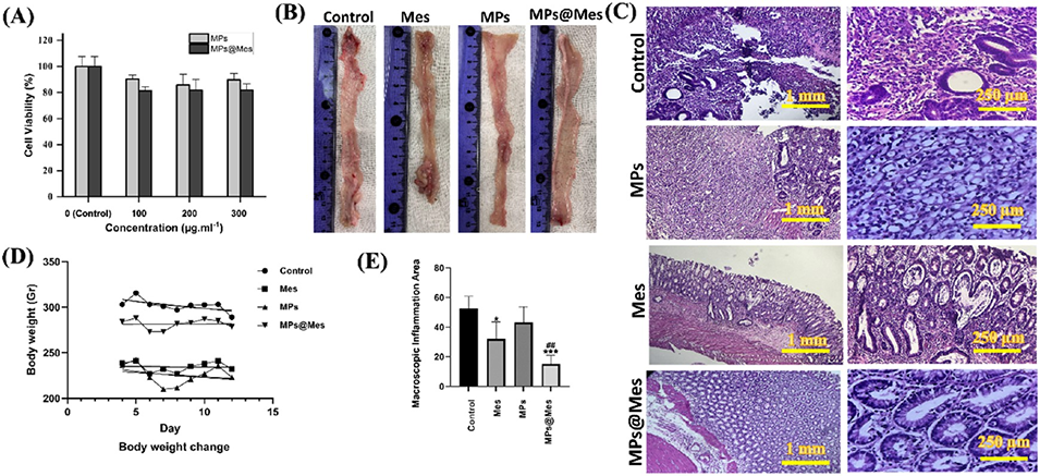
图6.(A)NIH/3T3细胞系的细胞存活率(%);(B)所有实验组的结肠样本,展示炎症程度及溃疡性结肠炎的宏观特征;(C)实验周期结束后,对照组、空白微球组、单纯美沙拉嗪组、Alg-CA-κCar/CS@Mes微球组结肠样本的染色图像(从左至右,放大倍数分别为100倍和400倍);(D)所有组在12天实验周期内的体重变化;(E)使用ImageJ软件对各组宏观炎症面积的分析结果。***P<0.001表示与对照组相比差异显著;*P<0.05表示与对照组相比差异显著;####P<0.001表示与空白微球组相比差异显著。

图7.(A)使用ImageJ软件分析所有实验组肿瘤坏死因子-α(TNF-α)的表达水平;(B)实验周期结束后各组结肠样本的染色图像,展示对照组、空白微球组、单纯美沙拉嗪组、Alg-CA-κCar/CS@Mes微球组中TNF-α的表达水平;(C)使用ImageJ软件分析所有实验组白细胞介素-6(IL-6)的表达水平;(D)实验周期结束后各组结肠样本的染色图像,展示对照组、空白微球组、单纯美沙拉嗪组、Alg-CA-κCar/CS@Mes微球组中IL-6的表达水平;(E)使用ImageJ软件分析所有实验组髓过氧化物酶(MPO)的表达水平;(F)实验周期结束后各组结肠样本的染色图像,展示对照组、空白微球组、单纯美沙拉嗪组、Alg-CA-κCar/CS@Mes微球组中MPO的表达水平(从左至右,放大倍数分别为100倍和400倍)。****P<0.0001表示与对照组相比差异显著;####P<0.0001表示与空白微球组相比差异显著;&&P<0.01表示与单纯美沙拉嗪组相比差异显著。
论文链接:https://doi.org/10.1021/acs.biomac.5c00663
(本文仅供参考学习及传递微流控研究成果,版权归原作者所有,如侵犯权益,请联系删除)






